
Odontociemme Studio Medico Dentistico
CONTATTI
Leader a Milano per la cura e il benessere dentale
info@odontociemme.it
Via Giovanni Rotondi, 2, 20145 Milano MI, Italia
Foto – Studio Dentistico Odontociemme
In questa sezione presentiamo una selezione di immagini e video relativi ai casi clinici trattati presso lo Studio Odontoiatrico Odontociemme del Dr. Marco Citro.
Ogni contenuto riflette il nostro impegno costante per l’eccellenza clinica, la precisione tecnica e l’attenzione al benessere del paziente.
Attraverso queste testimonianze visive desideriamo offrire una panoramica concreta della qualità dei nostri interventi e della professionalità che guida ogni fase del trattamento.
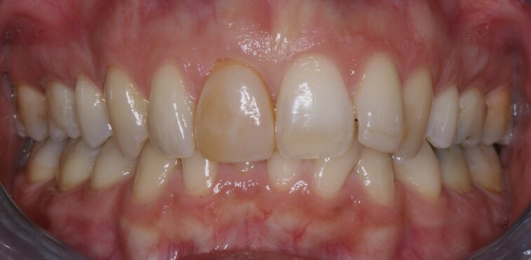
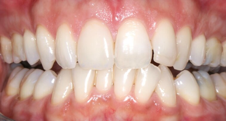
Un caso di realizzazione di una faccetta in ceramica sul centrale superiore destro
e sbiancamento di tutti i denti


Dopo
Prima
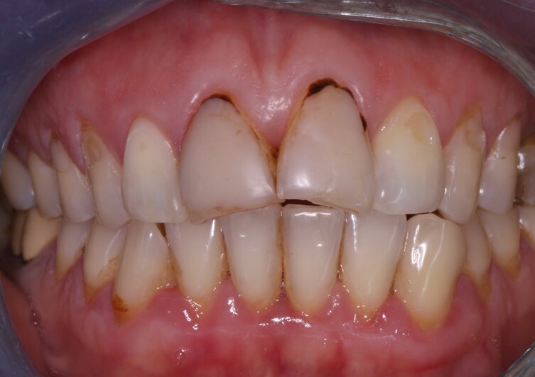
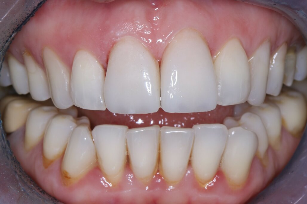
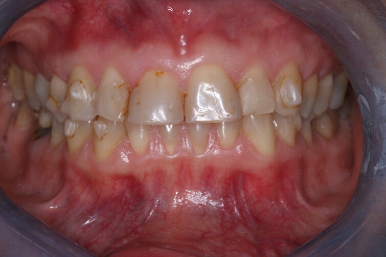
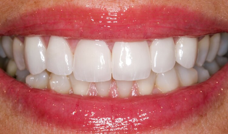
Un caso di realizzazione di faccette in ceramica dei sei centrali superiori e sbiancamento di tutti i denti


Dopo
Prima
Un caso di realizzazione di faccette in ceramica dei quattro centrali superiori, varie otturazioni in composito e sbiancamento di tutti i denti


Dopo
Prima
Dopo

Dopo
Un caso di realizzazione di faccette in ceramica dei sei centrali superiori e sbiancamento di tutti i denti


Prima
Dopo

Dopo